【第一百三十一期】基层检验网形态学培训
每周一次,每次几张,只要您坚持来,抽出几分钟的时间,相信您的识图能力会不知不觉的提升哦
1、请识别下列图中箭头所指细胞名称(骨髓,10*100 倍,刘氏染色)
答案:成骨细胞
解析:细胞胞体大,直径20-40um,常呈椭圆形或不规则形,常多个成簇分布,亦可单个存在。胞体边缘清楚或呈云雾状,胞核圆形或椭圆形,偏于一侧;染色质呈粗网状,可见1-2个浅蓝色核仁;胞质丰富,深蓝色或淡蓝色,有空泡,离核较远处可见椭圆形淡染区。
2、请识别下列图中箭头所指细胞名称(骨髓,10*100 倍,刘氏染色)

答案:破骨细胞
解析:此类细胞胞体巨大,直径60-100um,形态不规则,边缘清楚或不整如撕纸状,胞核数量较多,椭圆形或圆形,彼此孤立,无核丝相连,核染色质粗网状,核仁1-2个;胞浆极丰富,染淡蓝色或淡红色,胞质中有大量较细小淡紫红色颗粒同时伴有粗大紫红色颗粒。
3、请识别下列图中所指细胞团名称(骨髓,10*100 倍,刘氏染色)
答案:幼红细胞岛
解析:红系造血旺盛者,常可见有核红细胞造血岛,又称幼红细胞岛,是指各阶段幼红细胞成堆存在,其中心有1-2个巨噬细胞,岛周围的幼红细胞比中心的幼红细胞更成熟。幼红细胞从巨噬细胞中摄取铁。
4、请识别下列图中所指细胞团名称(骨髓,10*100 倍,刘氏染色)
答案:骨髓瘤细胞岛
解析:图中可见多个骨髓瘤细胞聚集成簇分布,其胞体大,不规则形;胞核大,圆形或不规则形;核多偏位,可见双核、多核,染色质呈粗颗粒状,隐约可见核仁;胞浆量丰富,浆缘不齐,染深蓝色,不透明,核旁有淡染区。此图片取自一例多发性骨髓瘤患者的骨髓。该细胞团需与幼红细胞岛、成骨细胞相鉴别。
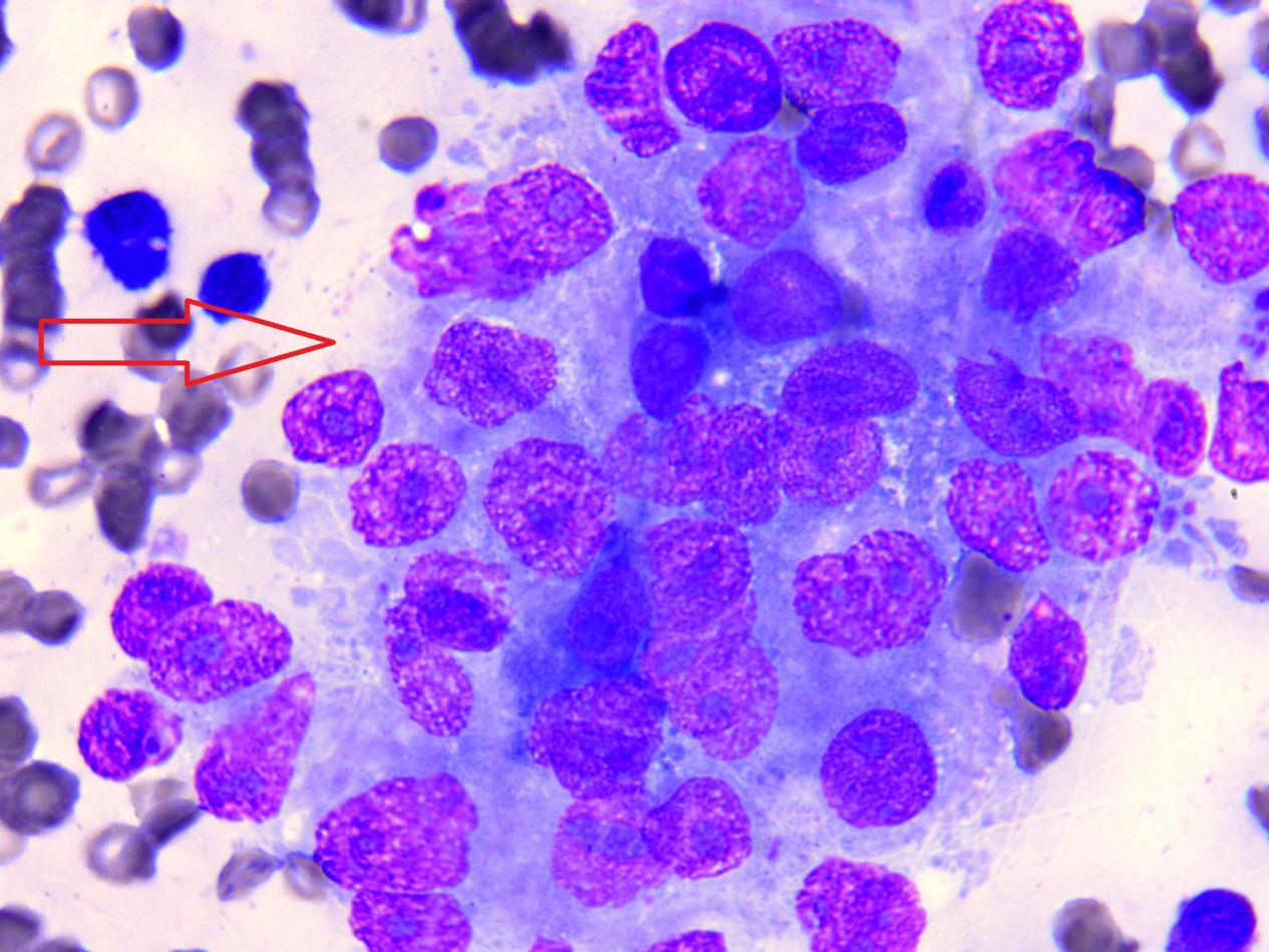
5、请识别下列图中箭头所指细胞名称(骨髓,10*100 倍,刘氏染色)
答案:肿瘤细胞
解析:当恶性肿瘤转移时,可在骨髓中检测到肿瘤细胞,常成堆分布,胞体及胞核大、核仁大而清晰,胞质深蓝色或蓝色,各细胞胞质界限不清。
感谢:重医大附一院检验科和重庆大学附属涪陵医院提供的内容。