【第一百三十期】基层检验网形态学培训
每周一次,每次几张,只要您坚持来,抽出几分钟的时间,相信您的识图能力会不知不觉的提升哦
病例 1 简要病史:
反复咳嗽气促半年,加重一天。胸腹部 CT 提示右肺门占位伴阻塞性肺炎,考虑肺癌伴肺门及纵隔淋巴结转移可能。下面是患者的胸水涂片。
1、红色画圈所指物是什么?(胸水,瑞氏染色 10×100)

答案:小细胞癌细胞
解析:红色画圈的细胞呈站队样排列。
2、箭头所指物是什么?(胸水,瑞氏染色 10×100)。
答案:小细胞癌细胞
解析:可见细胞嵌合体结构,封入现象,形态像鸟眼。鸟眼细胞的本质是封入细胞,是肿瘤细胞吞噬了肿瘤细胞形成的类似鸟眼的形态。
3、箭头所指物是什么?(胸水,瑞氏染色 10×100)

答案:小细胞癌细胞
解析:红色画圈有 3 个小细胞癌细胞紧密排列在一起,右下角细胞成团分布。
病例 1 总结:此患者为确诊小细胞癌。小细胞癌属于恶性程度较高的恶性肿瘤,需做免疫组化确诊。对于体液形态我们正在学习路上,所以喜欢通过确诊病例来学习它的形态。小细胞癌细胞的形态特点:小细胞癌细胞体积较小,单个或成片分布,可呈站队样排列,呈脊椎骨样、城墙样、镶嵌等排列或呈裸核样改变,胞质量少,核质比高,胞核不规则,核染色质细腻,核仁小或不明显。
知识点延申:小细胞肺癌(SCLC)又称为未分化癌,占肺癌的 10%-20%,与鳞癌一样,好发于中、老年男性,与吸烟有关;是肺癌中分化最低,恶性程度最高的类型,多为中央型肺癌,生长迅速,转移较早,在痰、胸水、淋巴结、骨髓等中均较易见到。肿瘤细胞成团、成群站队排列,由于生长速度快,相互拥挤、相互挤压、重叠,呈镶嵌、菊花团样排列,尤以肺未分化小细胞癌最明显。
病例 2 简要病史:
患者因发现血糖高 1+月,头痛 1 月,逐渐出现视物模糊,视力下降收入神经内科。
血常规:

脑脊液生化结果:
脑脊液常规:
以下为患者脑脊液涂片。
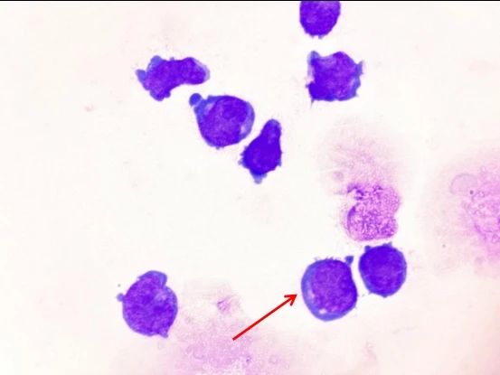
4、箭头所指物是什么?(脑脊液,瑞氏染色 10×100)
答案:原始细胞、原始粒细胞
解析:无
5、箭头所指物是什么?(脑脊液,瑞氏染色 10×100)
答案:原始细胞、原始粒细胞
解析:原始粒细胞,胞体直径 10~20μm,圆形或类圆形;胞核较大,圆形或类圆形,居中或略偏位;核染色质细颗粒状,排列均匀,平坦如一层薄沙,无浓集;核仁 2-5个,较小,清楚,呈淡蓝色。胞质较少,呈蓝色或深蓝色,绕于核周,有时在近核某处浆色较淡,颗粒无或有少许细小颗粒。
病例 2 总结:病人脑脊液中发现 87%原始细胞,后续追问病史,病人一年多前确诊 CML,给予靶向治疗,控制良好,后续送脑脊液流式检查,结果显示:FCM 在脑脊液中检测到 80.08%的异常髓系原始/幼稚细胞(肿瘤细胞)。后续转上级医院检查治疗,提示骨穿结果正常。此病人为中枢神经系统白血病,简称“脑白”,系由于白血病细胞浸润至脑膜或脑实质,使患者表现出相应的神经或精神症状,“脑白”可见于白血病病程的任何阶段。传统将中枢神经系统白血病定义为脑脊液中白细胞数≥5 个/ul,且见原始细胞。但也有学者认为只要脑脊液中出现原始细胞,不论细胞数多少均为中枢神经
系统白血病。白血病患者接受化疗时,大部分化疗药物不易透过血脑屏障而致脑脊液中不能达到有效浓度,隐藏在中枢神经系统的白血病细胞不能有效被杀灭而且不断增殖,中枢神经系统成为白血病细胞的“庇护所”,成为髓外白血病复发的首要原因。
感谢:重医大附一院检验科和重庆市北碚区质控中心提供的内容。