【第一百二十六期】基层检验网形态学培训
每周一次,每次几张,只要您坚持来,抽出几分钟的时间,相信您的识图能力会不知不觉的提升哦
1、请指出下图箭头所指细胞名称(骨髓标本 瑞氏染色 10×100 )。

答案:巨中幼红细胞/巨双核幼红细胞
解析:图片来自本院一巨幼细胞贫血病人,巨幼红细胞胞体巨大,圆形或椭圆形,胞浆量丰富,蓝色,由于血红蛋白合成开始嗜多色性;核染色质呈疏松颗粒状,似海绵或蚕食感而着色浅淡,胞核与胞质发育不平衡,常表现为胞核发育落后于胞质。
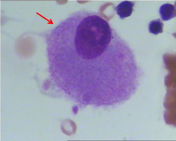
2、请指出下图箭头所指细胞名称(骨髓标本 瑞氏染色 10×100 )。

答__案__:异常浆细胞/骨髓瘤细胞
解析:图片来自本院多发性骨髓瘤病人,该细胞胞浆量丰富,深蓝色,有泡沫感;染色质粗颗粒状,细胞核两个,分别有大而明显的核仁 1 个,该种细胞异形性较明显,易出现于多发性骨髓瘤或浆细胞白血病患者骨髓中。
3、请指出下图箭头所指细胞名称(骨髓标本 瑞氏染色 10×100 )

答案:巨双核幼红细胞/双核早幼红细胞
解析:该图片来自本院巨幼细胞贫血病人,与图 1 是同一骨髓片,胞体偏大,胞浆量较丰富,蓝色如油墨画,近核透亮区较明显,常有瘤状突起,核染色质疏松如蚕食样,核仁较模糊。4、请指出下图箭头所指细胞名称(骨髓标本 瑞氏染色 10×100 )

答案__:__巨双核中性粒细胞/巨双杆状核中性粒细胞
解析:胞体偏大,圆形,胞浆中充满紫红色细小颗粒,核染色质粗糙不均,浓集呈块状,副染色质明显,核形多弯曲似腊肠状。
5、请指出下图箭头所指细胞名称(骨髓标本 瑞氏染色 10×100 )。

答案:单圆核巨核细胞
解析:图片来自本院一例 MDS 5?−病人,该巨核细胞大小正常或略小,核圆形,细胞核常偏于胞体一侧,似脱出状态;和染色质聚集呈块状;胞质丰富呈紫红色,其内充满了紫红色颗粒,边缘附着少量血小板。
感谢:重医大附一院检验科和重庆市黔江质控中心提供的内容。