第一百零九期】基层检验网形态学培训
每周一次,每次几张,只要您坚持来,抽出几分钟的时间,相信您的识图能力会不知不觉的提升哦
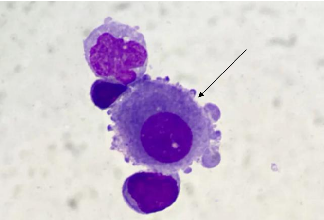
1、请指出下图中所指细胞名称(胸水涂片,瑞氏染色,10X100 倍)

答案:间皮细胞
解析:直径为 15~30 微米,多为圆形或椭圆形,偶见不规则形,核在细胞中心或偏位,多为单核,也可见多核,胞浆中可见空泡。
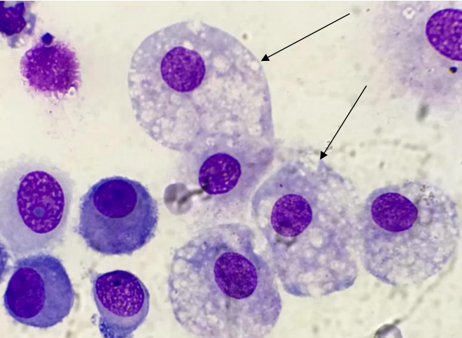
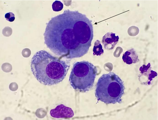
2、请指出下图中所指细胞名称(腹水涂片,瑞氏染色,10X100 倍)
答案:双核间皮细胞
解析:胞体较大,与肿瘤细胞差不多大,胞质特征明显,着色偏蓝且受色均匀,核两个且较均匀,排列规则,虽大但不恶像。
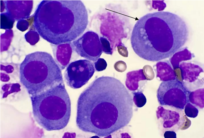
3、请指出下图中所指细胞名称(胸水涂片,瑞氏染色,10X100 倍)
答案: 间皮细胞轻度核异质
解析:核轻度增大,比正常大一半左右,轻至中度畸形,核染色质轻度增粗,染色加深,偶见个别细胞呈粗颗粒状,一般多见于鳞状细胞表层和中成细胞。由于常在慢性炎症时出现,又称炎性核异质细胞。
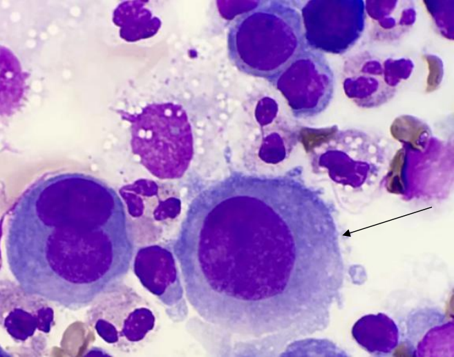
4、请指出下图中所指细胞名称(胸水涂片,瑞氏染色,10X100 倍)
答案:间皮细胞中度核异质
解析:介于轻度和重度之间,细胞分界尚清,核大小不一,形态略畸形,核明显增大,染色质浓密不均,深染。
5、请指出下图中所指细胞名称(腹水涂片,瑞氏染色,10X100 倍)

答案:退化间皮细胞
解析:胞体增大,胞浆丰富,泡沫感、颗粒状,核染色质固缩,胞核推向一侧呈印戒状。由于细胞的退化程度不同,而使细胞失去了正常形态。
免责声明:基层检验网订阅号是一个提供学习讨论、资讯阅读、交流分享为一体的网络公益平台,不涉及商业盈利目的。如涉及版权问题,请联系我们予以删除。
感谢:重医大附一院检验科及重庆市南川区人民医院提供的内容。