关于真菌孢子的干货。
丝裂产孢
是指现有的菌丝细胞转换成一个或更多个分生孢子。由菌丝断裂形成的孢子,可分成关节孢子、厚壁孢子和侧生孢子(粉孢子)。有的专家把以上三类孢子统称为“节孢子”,指的是丝裂产孢的所有情况。
关节孢子:菌丝离断(菌丝双层壁断裂)产生的孢子,多呈竹节状。其中对半新柱顶孢(Neoscytalidium dimidiatum)为唯一一种黑色菌落的种,其他为不含色素的种,如地霉属( Geotrichum),毛孢子菌属(Trichosporon),关节孢子成串,大小均匀。如果关节孢子间间以孢间连体(缩窄部分),则是球孢子菌(Coccidioides)。
厚壁孢子:休眠期孢子,由细胞膨胀、胞壁增厚而成,可产生于菌丝侧面和顶端。
粉孢子:无性孢子从菌丝侧端产生。代表为毛癣菌属的大小分生孢子。
看几个例子(代表粉孢子的皮肤癣菌太常见,就不举例了)
对半新柱顶孢
注意这是唯一一种产生暗色节孢子的菌。
芽生产孢
分生孢子由产孢细胞出芽而产生,是最为复杂的一类产孢方式。按照产孢来源,可分为两种模式:全壁芽生型和内壁芽生型。
(1)内芽生(enteroblastic):孢子从产孢细胞的内壁产生,外壁裂开,内层通过开口向外延伸为新胞壁。主要包括瓶梗产孢和环痕产孢。
(2)全壁芽生(holoblastic):产孢细胞的内壁和外壁均突起形成分生孢子。按照孢子排列方式,则可分为:
孤立产孢:冒出单个芽孢。
链状产孢:孢子一个接一个产生,形成链状,其典型代表是枝孢霉,枝孢瓶霉。
合轴产孢:围绕菌丝周围陆续产孢。其典型代表是喙枝孢霉,裴氏着色真菌、链格孢和离孺孢,德氏霉,孢子丝菌等。
看示意图:


出芽短梗霉(年轻的菌落,孢子从关节处发生)

尖端赛多孢(环痕产孢)
拟青霉(瓶梗产孢)
瓶霉(瓶梗产孢)
地霉(关节孢子)
申克(全壁芽生/合轴排列)

离蠕孢(合轴产孢)
着色真菌(枝孢型)
常见定植真菌
白假丝酵母菌(白色念珠菌):口腔、上呼吸道、阴道、肠道。
隐球菌:口腔、大便。
曲霉:常定植上呼吸道。
真菌分类
1、单细胞真菌
酵母型真菌:不产生菌丝。
类酵母型真菌:假菌丝。
2、多细胞真菌
基本结构:菌丝+孢子。


真菌菌落
酵母型菌落(单细胞真菌):芽生孢子,无菌丝。例如,新型隐球菌的菌落。
类酵母型菌落(单细胞真菌):孢子+假菌丝。例如,白假丝酵母菌(白色念珠菌)。
丝状型菌落(多细胞真菌):孢子+菌丝体。
常见真菌的孢子和菌丝形态
念珠菌属:除了光滑念珠菌,大多可以形成假菌丝。
白假丝酵母菌(白色念珠菌):芽生孢子 + 假菌丝。特征:假菌丝中间或顶端的厚膜孢子。玉米粉琼脂培养,也可有真菌丝+厚膜孢子。
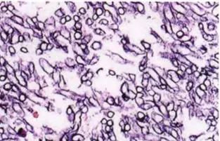
曲霉:分支状多细胞性有分隔菌丝 + 分生孢子。典型的为45°分支的有隔菌丝。
上图是曲霉的病理图片。
毛霉:无分隔的菌丝(分支呈直角)+ 孢子囊孢子。


上图是毛霉的病理图片。
肺孢子菌:孢子,无菌丝。

新型隐球菌:无孢子,无菌丝。体外无厚荚膜,进入人体后形成形成厚荚膜,单芽孢酵母样菌。

镰刀菌:有隔菌丝 + 大、小分生孢子。

孢子丝菌:有分隔的菌丝 + 梨形小分生孢子。
着色真菌:棕色有分隔的菌丝 + 棕色类圆形分生孢子。
荚膜组织胞浆菌:细长有分隔的菌丝 + 圆形大分生孢子。
厌酷球孢子菌:厚壁球孢子。
马尔尼菲青霉菌:25°培养,有分隔的菌丝+分生孢子。37°培养,关节孢子。墙头草,变化多端,所以,称为双相真菌。
